# 基本档案
- 位置
- 胸腔内中纵隔
- 前平胸骨体 2-6 肋软骨
- 后平第 5-8 胸椎
- 质量:250-350g
- 我国成年男性 284±50g
- 女性 258±49g
- 大小
相当于个人拳头大小,可根据年龄、性别、身高体重进行估计



# 体表投影

# 心脏外形








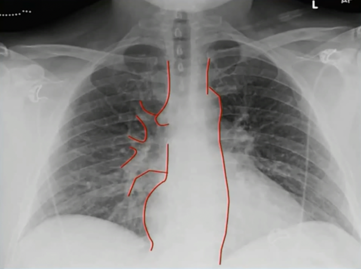
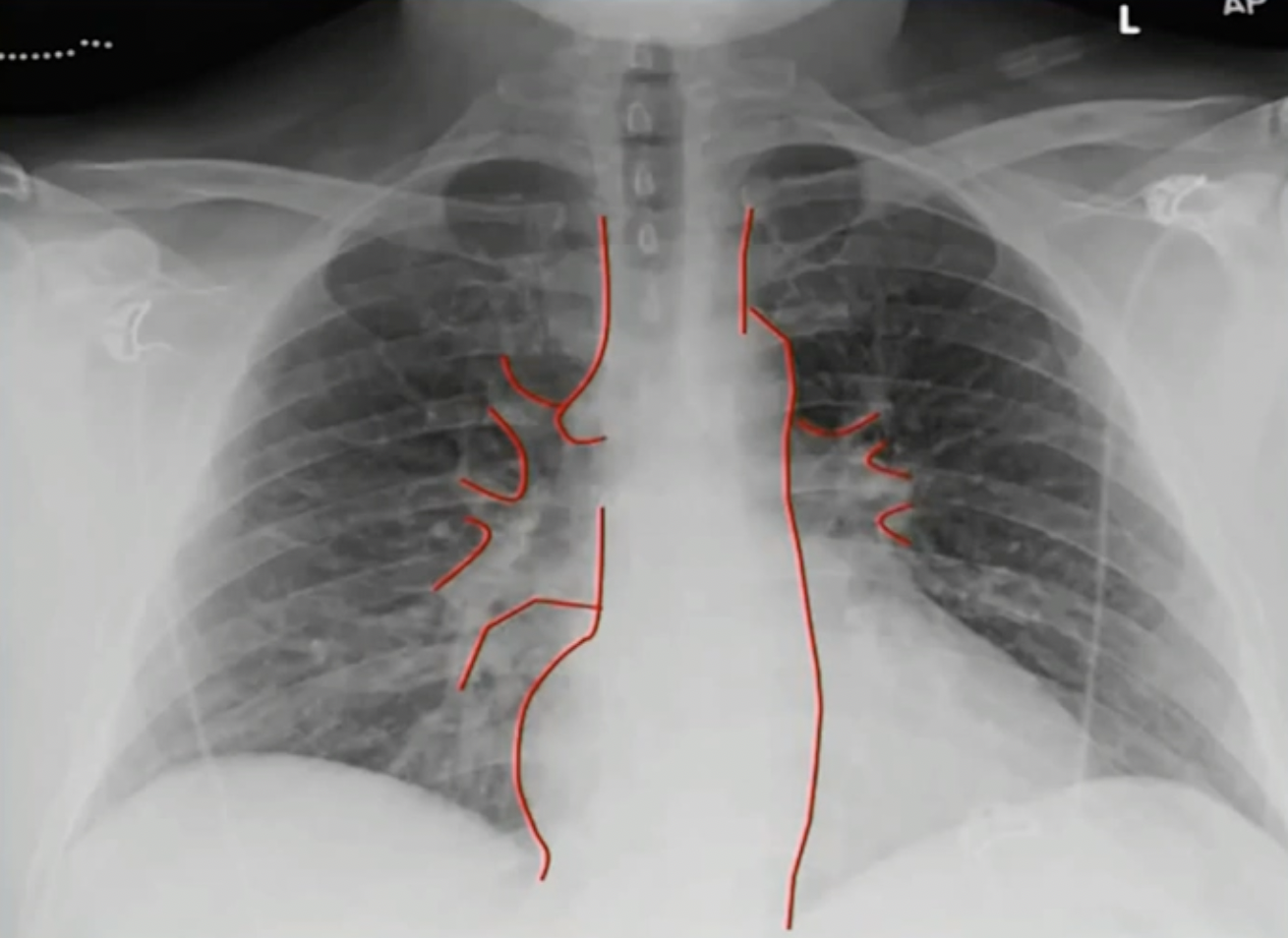
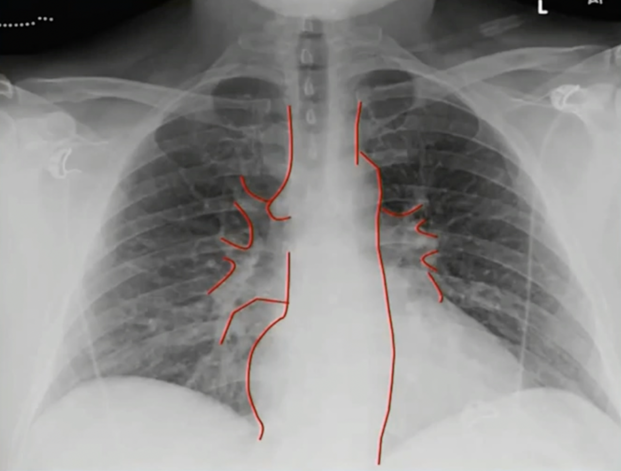
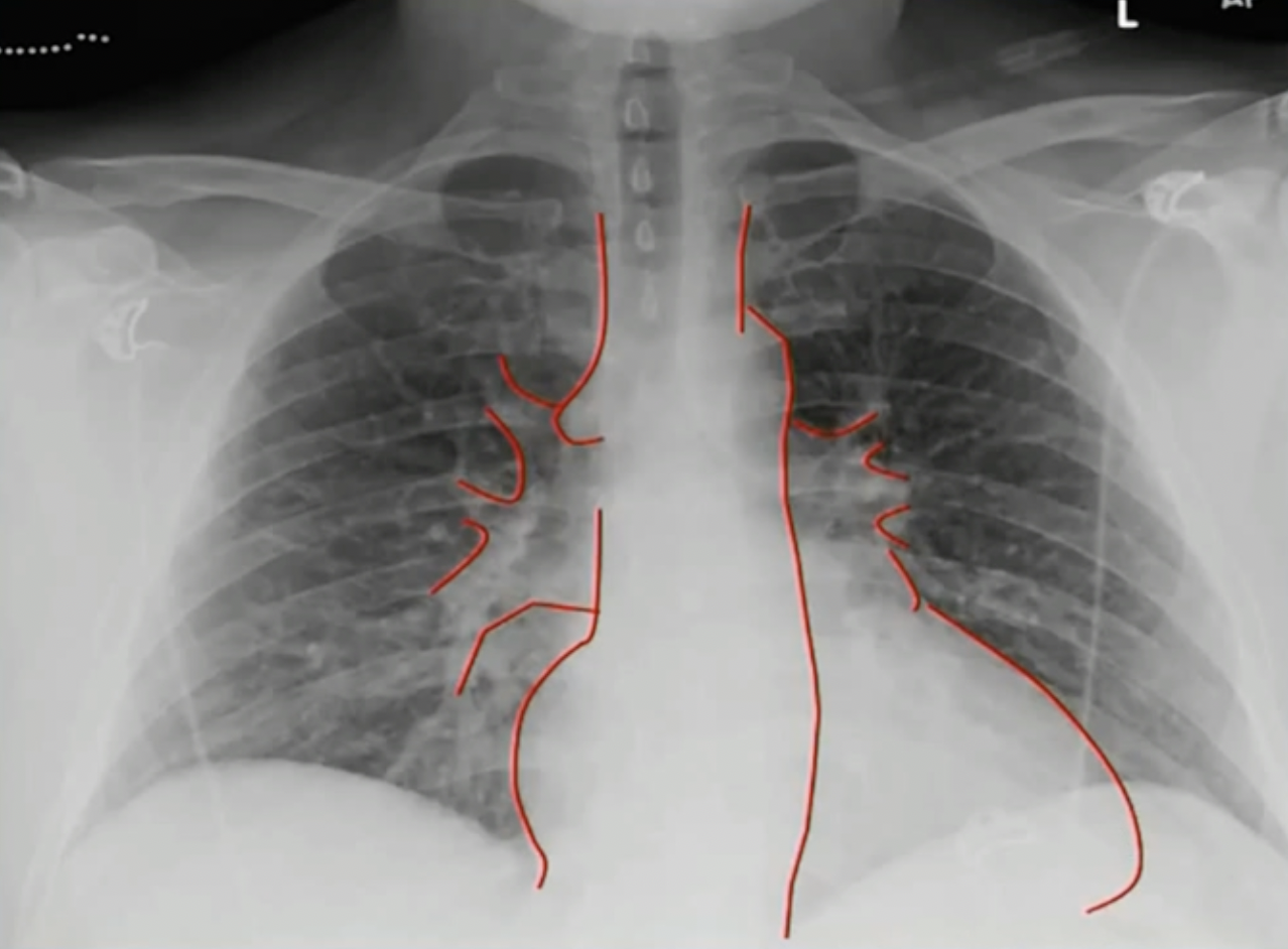
# 胸片影像
# 正位









# 右前斜 RAO
- 观察右心房、肺动脉主干、右心室
- 胸骨在心脏前面
- 脊柱和食管在心脏后面

# 左前斜 LAO
- 观察左心室、右心房、右心室、主动脉弓

# 中英文对照表
| 中文 | English |
|---|---|
| 上/下腔静脉 | Superior/inferior vena cava (SVC/IVC) |
| 奇静脉 | azygos vein |
| 左/右肺动脉 | Left/right pulmonary artery |
| 右心房 | right atrium |
| 左锁骨下动脉 | left subclavian artery |
| 主动脉弓和降主动脉 | aorta arch and descending aorta |
| 左心耳 | left atrial appendage |
| 左心室 | left ventricle |